La cruauté envers les animaux existe encore, ici, près de chez nous.
Aujourd’hui, l’association Aux Chats Nodoco prend en charge Balthazar, un jeune chat adulte d’environ 2 à 3 ans, victime d’un acte d’une violence inacceptable survenu à Dourges.
🐾 Un chat blessé retrouvé en détresse
Vendredi, une habitante alerte notre association après avoir découvert un chat blessé réfugié dans son garage. Malgré une tentative rapide de prise en charge chez le vétérinaire, l’animal, terrorisé et souffrant, s’enfuit.
Depuis ce jour, une bénévole de l’association s’est mobilisée sans relâche pour le retrouver.
Ce n’est qu’hier soir que Balthazar a enfin pu être sécurisé.
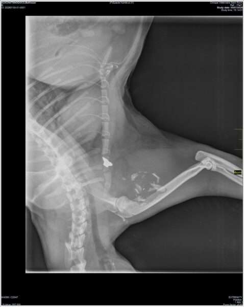
🩺 Diagnostic vétérinaire : un tir par arme à feu
Nous pensions à une blessure bénigne. La réalité est bien plus grave.
Lors de la consultation vétérinaire, le verdict tombe :
👉 Balthazar a été touché par balle.
-
Une balle logée dans l’épaule
-
Une infection sévère
-
Une fièvre à 41°C
-
Patte immobilisée pour au moins 3 semaines
-
Traitement lourd sur 2 semaines
-
Tests FIV / FELV négatifs (heureusement)
Sans prise en charge, il aurait pu mourir.
⚖️ Cruauté animale : rappel de la loi
Tirer sur un animal est un acte de cruauté, puni par le Code pénal.
➡️ Jusqu’à 3 ans de prison
➡️ Jusqu’à 45 000 € d’amende
Une plainte contre X sera déposée, et un signalement sera fait auprès de la police municipale.
Les faits se situent secteur rue Hoche / rue Félix Faure à Dourges.
Ce genre d’acte ne doit jamais rester sans suite.
💔 Une prise en charge lourde… et coûteuse
Aujourd’hui, Balthazar est en sécurité, pris en charge par sa famille d’accueil.
Nous avons reçu la première facture d’un montant de 236,78€, pour nous aider CLIQUEZ ICI
🧡 La cruauté animale est un crime
Balthazar est vivant. Mais il aurait pu ne pas l’être. La cruauté animale n’est pas un fait divers. C’est un crime. Et nous irons jusqu’au bout.
Merci pour lui. 🐾

Radio Balthazar

Facture Balthazar
